Mấy tháng nay chúng ta nghe nói nhiều đến bệnh phổi, “hội chứng phổi trắng” (White Lung Syndrome” và dịch sưng phổi hay “pneumonia” ở trẻ em bên Trung Quốc và ở Mỹ với tin đồn rằng có con vi khuẩn hay siêu vi mới gây ra bệnh này.
Trước hết,chúng ta bàn về những cụm viêm phổi gần đây được báo cáo:
Sở y tế công cộng của Quận Warren, Ohio, phục vụ vùng ngoại ô phía đông bắc của Cincinnati, đã báo cáo sự gia tăng lớn về số ca viêm phổi điển hình (typical pneumonia cases, nghĩa là không có gì khác thường), ở trẻ em, với 145 trường hợp ở những trẻ từ 3 đến 14 tuổi được ghi nhận tính đến ngày 29 tháng 11. Các báo cáo ban đầu về sự gia tăng ở Quận Warren đến từ các y tá trường học. Nhiều học sinh đã gọi điện báo bị bệnh và con số này cao hơn nhiều so với thời điểm này năm ngoái. Dù sao, nguyên nhân gây ra bệnh viêm phổi không khác gì những năm trước: chủ yếu là nhiễm RSV, adenovirus và streptococcus, hoặc mycoplasma.
Tiểu bang Massachusetts cũng đã báo cáo sự gia tăng các trường hợp nhiễm RSV và “walking pneumonia” ở trẻ em (ở đây có nghĩa là tuy bệnh nhân có triệu chứng viêm phổi như ho và chụp X-quang thấy vết đục/opacities, bệnh nhân vẫn đi lui tới có vẻ khỏe khoắn và không nằm giường như người bị viêm phổi điển hình) .
Nhưng điều làm nhiều người lo ngại và bàn tán là những tin tức chính thức và sự thật về những gì đang xảy ra tại Trung Quốc, cũng như hai lần trước lúc bệnh SARS và COVID mới ló dạng.
Theo đài phát thanh NPR: “Sau khi dịch SARS bùng phát ở miền nam Trung Quốc vào năm 2002, các quan chức Bắc Kinh đã yêu cầu các bác sĩ giấu bệnh nhân, một số người được đưa đi khắp nơi bằng xe cứu thương trong khi các nhà khoa học của WHO đến thăm nước này. Điều đó đã khiến WHO đe dọa đóng cửa văn phòng tại Trung Quốc”.
Gần hai thập kỷ sau, Trung Quốc trì hoãn việc chia sẻ những thông tin chi tiết quan trọng về virus Corona với cơ quan y tế Liên Hợp Quốc sau khi loại virus mới này xuất hiện vào cuối năm 2019. WHO đã công khai hoan nghênh cam kết của Trung Quốc trong việc ngăn chặn virus này – vài tuần trước khi nó bắt đầu gây ra dịch bệnh bùng nổ trên toàn thế giới.”
Đầu tháng 11, năm 2023, Trung Quốc đã báo cáo số ca mắc bệnh hô hấp gia tăng.Tại khoa nhi ở bệnh viện Bắc Kinh, có đến 7000 người đến khám trong một ngày. Chúng ta không có tin tức chính xác hơn về tình trạng những bệnh nhân đa số là trẻ em này, như bao nhiêu bệnh nặng, bao nhiêu nhập viện và bao nhiêu tử vong. Ủy ban y tế cho biết họ đã rất chú ý đến tỷ lệ mắc bệnh truyền nhiễm cao ở trẻ em và đang “hướng dẫn chính quyền địa phương tăng cường lập kế hoạch phối hợp và thực hiện hệ thống chẩn đoán và điều trị theo từng cấp độ”.
Các quan chức y tế Trung Quốc cho rằng sự gia tăng này là do việc dỡ bỏ các hạn chế về Covid và sự gia tăng thông thường của các mầm bệnh đã biết cũng có thể khiến con người dễ bị viêm phổi, bao gồm cúm, Covid, RSV và các bệnh nhiễm trùng do vi khuẩn thông thường Mycoplasma pneumoniae gây ra. Tổ chức Y tế Thế giới đang theo dõi những trường hợp đó cũng như sự gia tăng các trường hợp mắc bệnh hô hấp ở trẻ em ở miền bắc Trung Quốc, một phần do Trung Quốc từng có thành tích giấu giếm các bệnh xảy ra trong nước họ như SARS năm 2002 và gần đây hơn bệnh Covid lúc nó bắt đầu năm 2019; cả hai dịch bệnh này bắt đầu như những bệnh “viêm phổi” thông thường.
Trong khi đó, nhiều quốc gia ở Châu Âu cũng báo cáo sự gia tăng các ca viêm phổi ở trẻ em, nhiều trường hợp trong số đó cũng do vi khuẩn Mycoplasma gây ra.
Nói tóm lại, giới y tế cho rằng phần đông các vụ gia tăng viêm phổi gần đây là do virus cúm (influenza), RSV và COVID-19 chứ không phải do một tác nhân gây bệnh mà chúng ta chưa từng biết đến.
“Viêm phổi đi bộ” là thuật ngữ thường được dùng để mô tả những trường hợp viêm phổi nhẹ, đặc biệt là những trường hợp do vi khuẩn Mycoplasma gây ra, còn được gọi là viêm phổi không điển hình (atypical pneumonia; có nghĩa là nó khác thường, không làm bệnh nhân khổ sở như các viêm phổi khác) và có thể gây sốt, ho khan và đôi khi nhiễm trùng tai.
“Bệnh phổi trắng” hay “hội chứng phổi trắng” chỉ là một cách một mô tả đơn giản “đáng sợ”, không được các chuyên gia y tế sử dụng, nhưng từ “white out “ được bác sĩ quang tuyến dùng để mô tả những gì chúng ta thấy trên phim chụp X-quang ngực thông thường hay CT phổi. Phổi khỏe mạnh chứa đầy không khí và để cho tia X đi xuyên qua dễ dàng nên trên phim X quang những vùng này sẽ màu đen (radiolucent), khi tình trạng viêm phổi, và các tế bào bạch cầu lấp đầy khu vực vị nhiễm trùng, phổi sẽ cản tia X nhiều hơn (radio-opaque), hình trên phim trở nên mờ đục và có màu trắng hơn. Trước đây, những người bị lao phổi (viêm phổi do vi trùng lao) thường được gọi là “nám phổi” vì một phần của phổi có hình “nám” hay đục (opaque) trên hình quang tuyến. Một phần hoặc toàn bộ lá phổi bị trắng có thể xảy ra:
- lúc bị tràn dịch màng phổi (khoảng trống ảo giữa hai lớp màng phổi chứa nhiều ít máu, mủ, hay chất dịch tiết ngăn cản tia X đi qua)
- lúc phổi bị nhiễm Streptocococcus pneumoniae (ở VN dùng tiếng Pháp ngày trước gọi là pneumocoque) hay một vi khuẩn khác và nguyên một thùy phổi có thể bị đặc lại và cản tia X.
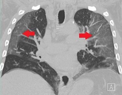
-”ground glass appearance”; hình mờ đục như kính nhám do bắn cát vào (sand blasted glass) là một cách các bác sĩ quang tuyến mô tả các vùng màu xám mờ có thể hiển thị trong ảnh chụp X-quang hay CT phổi. Những khu vực này cho thấy mật độ bên trong phổi tăng lên (increased density) có thể chỉ ra bệnh viêm phổi hoặc các rối loạn hô hấp khác. Có một số tin từ Trung Quốc cho thấy những hình phổi loại này.
Sau đây chúng ta nói chi tiết hơn về các bệnh cúm, RSV, Mycoplasma và Covid.
1) Bệnh cúm:
Cúm là một trong những căn bệnh có thể trở nên nghiêm trọng nhất của mùa đông. Cúm lây lan dễ dàng từ người này sang người khác, thường là khi người nhiễm bệnh ho hoặc hắt hơi.
Cúm là nguyên nhân phổ biến gây viêm phổi, đặc biệt ở trẻ nhỏ, người già, phụ nữ mang thai hoặc những người mắc một số bệnh mãn tính hoặc những người sống trong viện dưỡng lão. Hầu hết các trường hợp cúm không dẫn đến viêm phổi, nhưng những trường hợp bị viêm phổi có xu hướng nặng hơn và có khi gây tử vong. Trên thực tế, cúm gây tử vong cho 21.000 người năm 2022-23, so với năm 2020-21 cúm giảm đến mức rất thấp, không đáng kể, có lẽ vì các biện pháp cách ly do Covid. Bệnh cúm (cũng như một số loại viêm phổi khác) có vắc-xin bảo vệ, mặc dù không có vắc-xin nào bảo vệ hiệu nghiệm 100%. Vì các chủng cúm thay đổi hàng năm nên cần phải tiêm phòng cúm mỗi mùa để đảm bảo bạn được bảo vệ khỏi các chủng cúm mới nhất. Trẻ em từ 6 tháng đến 8 tuổi chưa bao giờ tiêm phòng cúm có thể cần hai liều cách nhau 4 tuần. Trẻ em trên 2 tuổi có thể dùng vắc xin Flumist xịt vào mũi, khỏi chích. (từ 2-49 tuổi)
Có vắc xin cúm đặc biệt cho những người từ 65 tuổi trở lên, chứa kháng nguyên (antigen) 4 lần nhiều hơn vắc xin cúm thường. Các loại vắc xin này là Fluzone High-Dose Quadrivalent, Flublock Quadrivalent, và Fluad Quadrivalent (năm 2023). Các nghiên cứu cho thấy chúng kích hoạt phản ứng miễn dịch ở người lớn tuổi tốt hơn so với vắc xin cúm truyền thống.
2) RSV:
(hRSV viết tắt của “Human Respiratory Syncytial Virus”, có thể dịch là “Vi rút hợp bào hô hấp”; lý do là những nơi bị virus này nhiễm, các tế bào bệnh nhân nhập lại với nhau thành những tế bào lớn có nhiều nhân hay “syncytia”). RSV có thể trở nặng khó dự đoán và là nguyên nhân hàng đầu gây nhập viện ở trẻ sơ sinh.
Người lớn từ 65 tuổi trở lên và người lớn mắc bệnh mãn tính hoặc hệ thống miễn dịch suy yếu có nguy cơ cao mắc RSV nặng. Bệnh nhân bị nhiễm không có khả năng miễn dịch lâu dài với RSV và có thể bị nhiễm bệnh nhiều lần trong đời. RSV lây lan từ người này sang người khác khi tiếp xúc gần gũi với người bị nhiễm bệnh qua dịch tiết khi ho và hắt hơi hoặc chạm vào các đồ vật như đồ chơi hoặc tay nắm cửa có mang vi-rút.
Thời gian ủ bệnh từ hai đến tám ngày. Bệnh thường kéo dài từ ba đến bảy ngày và đó là thời gian dễ lây lan nhất cho người khác . Mùa cao điểm nhiễm RSV ở Hoa Kỳ là từ mùa thu đến mùa xuân. Hầu hết trẻ em sẽ bị nhiễm RSV trước hai tuổi sau khi tiếp xúc với những đứa trẻ khác.
3) Covid:
Vắc xin tăng cường (booster) mới chống COVID-19 (năm 2023) phù hợp hơn nhiều với các biến thể hiện đang lưu hành so với các loại vắc xin trước đây. Chúng là phiên bản cập nhật của vắc xin Moderna và Pfizer-BioNTech hiện có, đồng thời được chế tạo để nhắm mục tiêu đến một biến thể phụ omicron tương đối gần đây có tên là XBB. 1.5.
CDC cho biết hồi đầu tháng 12/2023, biến thể phụ JN.1 chiếm khoảng 15% đến 29% số ca bệnh ở Hoa Kỳ tính đến ngày 8 tháng 12, 2023 theo dự đoán mới nhất của cơ quan này. Đột biến này có nguồn gốc từ chủng họ omicron BA.2.86, hay Pirola, đã có mặt ở Mỹ vào mùa hè này. JN.1 được phát hiện lần đầu tiên vào tháng 9 và cho đến nay đã được ghi nhận ở 12 quốc gia, theo CDC.
Không có bằng chứng nào cho thấy JN.1 gây bệnh nghiêm trọng hơn hoặc có các triệu chứng khác biệt đáng kể so với các biến thể lưu hành khác. Một số người có thể dễ dàng nhầm lẫn các triệu chứng của trường hợp nhẹ với các bệnh thông thường khác vào mùa đông, chẳng hạn như cúm, cảm lạnh hoặc nhiễm trùng đường hô hấp.
Theo CDC, các triệu chứng của nhiễm trùng JN.1 COVID-19 có thể bao gồm: Ho, đau họng, đau đầu, đau cơ, sốt, thay đổi hoặc mất vị giác hoặc khứu giác (ngửi), nghẹt mũi và chảy nước mũi, mệt mỏi, "Sương mù não" (brain fog/cảm giác ít tỉnh táo và nhận thức hơn), hụt hơi, triệu chứng tiêu hóa (khó chịu ở dạ dày, tiêu chảy nhẹ).
Vắc-xin và phương pháp điều trị COVID-19 mới nhất (như thuốc uống Paxlovid) được mong đợi có tác dụng chống lại JN.1 mặc dù nó có dạng đột biến. Hụt hơi (short of breath) và khó thở là dấu hiệu của nhiễm trùng nghiêm trọng hơn và cần được điều trị càng sớm càng tốt.
CDC cũng lưu ý rằng loại và mức độ nghiêm trọng của các triệu chứng phụ thuộc nhiều hơn vào khả năng miễn dịch và bệnh sử của mỗi người hơn là loại biến thể mà họ mắc phải.
Riêng về trẻ em dưới 5 tuổi, Hàn lâm viện Nhi khoa (AAP) hướng dẫn như sau: “Trẻ em từ 6 tháng đến 4 năm tuổi nên hoàn thành loạt tiêm nhiều liều ban đầu (multidose initial series gồm hai liều Moderna hoặc ba liều Pfizer-BioNTech) với ít nhất một liều vắc xin cập nhật. Tất cả các liều phải của cùng một nhà sản xuất cho nhóm tuổi này.”
4) Mycoplasma
Vi khuẩn Mycoplasma có cấu trúc độc đáo so với các vi khuẩn khác. Chúng không có vách tế bào (cell wall), khiến chúng có hình dạng hình cầu và khả năng kháng một số kháng sinh như penicillin (vì những thuốc này tác dụng giết vi khuẩn bằng cách làm cho vách tế bào yếu đi mà Mycoplasma thì không có vách tế bào).
Vi khuẩn Mycoplasma loại/type pneumoniae gây bệnh viêm phổi. Một phần ba các trường hợp chỉ bị nhẹ, gọi là “walking pneumonia”.
M. pneumoniae hiện được coi là nguyên nhân phổ biến gây viêm phổi mắc phải trong cộng đồng (community acquired pneumonia, khác với viêm phổi do lây trong bệnh viện) và lây truyền từ người này sang người khác qua các giọt bắn từ đường hô hấp khi tiếp xúc gần gũi. Thời gian ủ bệnh kéo dài từ 2 đến 3 tuần. Giống như hầu hết các mầm bệnh về đường hô hấp, nhiễm trùng thường xảy ra trong những tháng mùa đông nhưng có thể xảy ra quanh năm. Mỗi năm khoảng 1% dân số Hoa Kỳ bị nhiễm bệnh. Tỷ lệ mắc bệnh có thể cao hơn nhiều vì nhiễm trùng có thể ở dạng không có triệu chứng lâm sàng hoặc gây bệnh nhẹ hơn mà không cần nhập viện. Sự bùng phát nhiễm trùng mycoplasma xảy ra ở các tân binh (lính mới tuyển mộ), bệnh viện, viện dưỡng lão và các cơ sở chăm sóc dài hạn khác. Chỉ có 5 đến 10% số người nhiễm Mycoplasma bị viêm phổi. Nó gây nhiễm trùng đường hô hấp trên và dưới ở mọi lứa tuổi, đặc biệt là trên 5 tuổi và dưới 40 tuổi.[6] Riêng ở Trung Quốc các bác sĩ cho rằng Mycoplasma có thể gây bệnh từ nhẹ đến nguy kịch ( critical) và có khi nhiễm Covid và Mycoplasma cùng một lúc. ( theo Radio Free Asia).
Về trị liệu, thuốc kháng sinh như loại macrolid (ví dụ azithromycin), loại tetracyclin như doxycycline, hoặc loại fluoroquinolones thường được sử dụng để điều trị viêm phổi do Mycoplasma. Hầu hết bệnh nhân sẽ khỏi bệnh mà không cần dùng kháng sinh, nhưng nếu viêm phổi phát triển, thuốc kháng sinh thường được kê đơn để giúp phục hồi. Có tin cho rằng các trường hợp Mycoplasma ở Trung Quốc đề kháng với các kháng sinh rất nhiều.
Phòng ngừa: Vệ sinh tốt, chẳng hạn như rửa tay thường xuyên và che miệng và mũi khi ho hoặc hắt hơi, có thể giúp ngăn ngừa sự lây lan của nhiễm trùng. Không có vắc-xin để ngăn ngừa nhiễm trùng Mycoplasma pneumoniae và các bác sĩ thường không kê đơn thuốc kháng sinh cho mục đích phòng ngừa.
Tóm lại, theo hiểu biết và tin tức hiện nay (trừ trường hợp một nước nào đó cố tình giấu giếm, nếu có), những ổ viêm phổi bộc phát vào thu đông ở Trung quốc, Hoa Kỳ và Châu Âu không phải do một vi khuẩn hay siêu vi mới, không phải là một loại viêm phổi với nguyên nhân chưa được xác định, mà là những bệnh viêm phổi do những nguyên nhân đã biết, bao gồm cúm, RSV, Mycoplasma. Bệnh gia tăng gần đây có thể vì trong những năm vừa qua, chúng ít có cơ hội nhiễm con người hơn do các biện pháp cách ly nhắm vào COVID-19 và những biện pháp này đã được tháo gỡ, cộng với hội họp, tụ tập, du lịch gia tăng trong mùa nghỉ lễ cuối năm, tết. Số lượng rất cao của trẻ em Trung Quốc thấy trên các phương tiện truyền thông có thể một phần do các tuyến dưới hoảng loạn đổ về trung ương, nhưng cũng chưa biết nguyên nhân và tình hình rõ rệt, cần theo dõi thêm.
Những người trong nhóm cơ nguy cao cần được chích ngừa Covid, cúm, RSV theo chỉ định của từng nhóm, cho mỗi lứa tuổi. Các biện pháp như mang khẩu trang, rửa tay, tránh nơi đông người trong nhà, ở chỗ thoáng khí cũng có ích nếu thấy cần.
– Bác sĩ Hồ Văn Hiền
21/12/2023
Send comment



